motbanner.jpg

Parallel suffix sorting based on bucket pointer refinement

Suffix array is one of the most important data structures in bioinformatics. Much effort has been devoted to find efficient sequential algorithms for its construction, but little is done to introduce parallel construction algorithms. The bucket pointer refinement algorithm is one of the efficient suffix sorting algorithms that is tuned for genomic datasets. In this paper, we introduce a parallel version of this algorithm running on (shared memory) multicore computers. We present experimental results comparing our algorithms to other parallel algorithms running on similar architecture. Our

Healthcare

Complete genome sequence and bioinformatics analysis of nine Egyptian females with clinical information from different geographic regions in Egypt

Egyptians are at a crossroad between Africa and Eurasia, providing useful genomic resources for analyzing both genetic and environmental factors for future personalized medicine. Two personal Egyptian whole genomes have been published previously by us and here nine female whole genome sequences with clinical information have been added to expand the genomic resource of Egyptian personal genomes. Here we report the analysis of whole genomes of nine Egyptian females from different regions using Illumina short-read sequencers. At 30x sequencing coverage, we identified 12 SNPs that were shared in

Artificial Intelligence
Healthcare

Change analysis for gait impairment quantification in smart environments

Visual Sensor Networks (VSNs) open up a new realm of smart autonomous applications based on enhanced three- dimensional sensing and collaborative reasoning. An emerging VSN application domain is pervasive healthcare delivery where gait information computed from distributed vision nodes is used for observing the wellbeing of the elderly, quantifying post-operative patient recovery and monitoring the progression of neurodegenerative diseases such as Parkinson's. The development of patient-specific gait analysis models, however, is challenging since it is unfeasible to obtain normal and impaired

Healthcare
Software and Communications

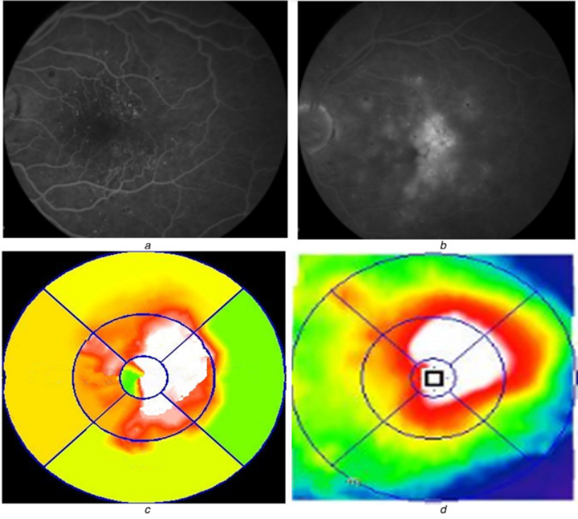
Computer-aided analysis of fluorescein angiograms using colour leakage maps

Fundus fluorescein angiography (FFA) is a standard screening and diagnosis technique for several retinal diseases. The analysis of FFA images is performed qualitatively by skilled observers, and thus is vulnerable to inter- and intra-observer variability. In this study, the authors present a method for computer-aided analysis of FFA images. The method is based on generating quantitative colour fluorescein leakage maps (FLM) that mimic the thickness maps generated by the optical coherence tomography (OCT). Results from 64 patients show strong correlation between the FLM and OCT thickness maps

Healthcare
Software and Communications

A Survey of COVID-19 Contact Tracing Apps

The recent outbreak of COVID-19 has taken the world by surprise, forcing lockdowns and straining public health care systems. COVID-19 is known to be a highly infectious virus, and infected individuals do not initially exhibit symptoms, while some remain asymptomatic. Thus, a non-negligible fraction of the population can, at any given time, be a hidden source of transmissions. In response, many governments have shown great interest in smartphone contact tracing apps that help automate the difficult task of tracing all recent contacts of newly identified infected individuals. However, tracing

Artificial Intelligence
Healthcare
Software and Communications

A robust quasi-quantum walks-based steganography protocol for secure transmission of images on cloud-based E-healthcare platforms

Traditionally, tamper-proof steganography involves using efficient protocols to encrypt the stego cover image and/or hidden message prior to embedding it into the carrier object. However, as the inevitable transition to the quantum computing paradigm beckons, its immense computing power will be exploited to violate even the best non-quantum, i.e., classical, stego protocol. On its part, quantum walks can be tailored to utilise their astounding ‘quantumness’ to propagate nonlinear chaotic behaviours as well as its sufficient sensitivity to alterations in primary key parameters both important

Artificial Intelligence
Healthcare
Software and Communications

A Theoretical Approach for Correlating Proteins to Malignant Diseases

Malignant Tumors are developed over several years due to unknown biological factors. These biological factors induce changes in the body and consequently, they lead to Malignant Tumors. Some habits and behaviors initiate these biological factors. In effect, the immune system cannot recognize a Malignant Tumor as foreign tissue. In order to discover a fascinating pattern of these habits, behaviors, and diseases and to make effective decisions, different machine learning techniques should be used. This research attempts to find the association between normal proteins (environmental factors) and

Artificial Intelligence
Healthcare
Software and Communications

A time series classification approach for motion analysis using ensembles in Ubiquitous healthcare systems

Human motion analysis is a vital research area for healthcare systems. The increasing need for automated activity analysis inspired the design of low cost wireless sensors that can capture information under free living conditions. Body and Visual Sensor Networks can easily record human behavior within a home environment. In this paper we propose a multiple classifier system that uses time series data for human motion analysis. The proposed approach adaptively integrates feature extraction and distance based techniques for classifying impaired and normal walking gaits. Information from body

Artificial Intelligence
Healthcare

Segmentation of strain-encoded magnetic resonance images using graph-cuts

Imaging of the heart anatomy and function using Strain Encoded (SENC) magnetic resonance imaging (MRI) is a powerful tool for diagnosing a number of heart diseases. Despite excellent sensitivity to tissue deformation, the technique inherently suffers from elevated noise level which hinders proper automatic segmentation using conventional techniques. In this work, we propose a method to accurately segment the left ventricle myocardium from strain encoded-MR short axis images. The method is based on a modified formulation of the graph cuts algorithm. A novel cost function based on a

Artificial Intelligence
Healthcare

Error analysis of fundus image registration using quadratic model transfformation

Based registration of retinal images proved to be very successful especially for minimally overlapping images. The most commonly used transformation method uses a quadratic model to represent the geometry of the retinal surface. Although this model has been used for more than one decade, there is no literature that studies the model errors for abnormal eye geometries. In this work, we present a study of the registration errors of the quadratic model in case of diseased eyes. The study includes two basic models of the retinal surface for eyes suffering from: myopia; and retinal diseases (e.g

Artificial Intelligence
Healthcare